
Skull base disorders are any condition that effect the base of the skull or closely related areas, including the inferior aspect of the brain, and the major vessels and nerves in the area. The procedures are typically performed with a multidisciplinary team including an otolaryngologist (ENT) and a neurosurgeon.
Vestibular Schwannoma (Acoustic Neuroma)
Vestibular schwannoma (also known as an acoustic neuroma) is a benign tumor that forms on the eighth cranial nerve (vestibulocochlear nerve) comprised of cells that surround the nerve (Schwann cells). They can be sporadic or a part of a larger disease process, such as NF2. When they are sporadic, they tend to be unilateral, and bilateral when apart of NF2.
Possible Symptoms:
- Hearing Loss (unilateral or bilateral)
- Tinnitus
- Ear fullness (Aural fullness)
- Facial weakness/paralysis
- Facial twitching
- Headaches
- Change in taste
- Change in tear production
Treatment Options:
There are three treatment options: Watchful observation with serial MRI, Surgery , and Radiation therapy.
Small VS that are asymptomatic can be monitored with serial MRI. If growth or onset of significant new symptoms then we can offer surgery or radiation therapy based on size of the tumor, symptoms, and overall health and age of the patient. All treatment options require discussion between patient and physician to be sure it is the best medical decision and aligns with the patients’ goals of care.
Surgical excision or gamma knife radio surgery of symptomatic vestibular schwannomas is recommended in many instances.
There are additional interventions such as cochlear implantation or facial nerve reinnervation that may be recommended depending on the symptom severity and disease progression. All treatment options should be discussed with your clinician.
Cerebrospinal Fluid (CSF) Leaks
Cerebrospinal fluid leaks may occur due to trauma, prior surgery, or other pathologic processes. CSF leaks occur when there is a defect in the bones surrounding the brain, which allows for the egress of fluid, usually slowly over time. Patients may present with a variety of symptoms, including: runny nose (CSF leaking out the nose), ear drainage (CSF leak out of the ear), serous effusion of the middle ear, headache, or visual changes. If the leak is located in the skull base a neurotologist will repair the leak as part of interdisciplinary team if needed.
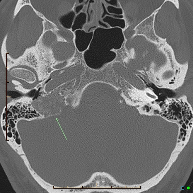
Glomus Tumor

Jugular paraganglioma or Glomus jugulare (Source: Radiopaedia.org)
Glomus tumors in the ear, nose, and throat (ENT) region are rare, benign growths that can significantly impact a patient’s quality of life. These tumors typically develop in the middle ear, temporal bone, or along the jugular vein.
Types and Locations:
In the ENT context, there are several types of glomus tumors:
1. Glomus tympanicum: Located in the middle ear
2. Glomus jugulare: Found near the jugular bulb
3. Glomus vagale: Develops along the vagus nerve in the neck
Symptoms:
Common symptoms of ENT glomus tumors include:
• Pulsatile tinnitus (hearing a rhythmic pulsing sound)
• Gradual hearing loss
• Ear pain or discomfort
• Bleeding from the ear (in some cases)
• Dizziness or balance problems
In more advanced cases, patients may experience:
• Hoarseness
• Difficulty swallowing
• Facial weakness or numbness
Diagnosis:
Diagnosing glomus tumors in the ENT region typically involves:
• Physical examination, including otoscopy
• Imaging studies (CT scan, MRI, and sometimes angiography)
• Audiometry to assess hearing function
• In some cases, a biopsy may be necessary
Treatment Options:
Treatment for ENT glomus tumors depends on various factors, including tumor size, location, and patient health. Options include:
1. Observation: For small, slow-growing tumors, especially in older patients
2. Surgery: Complete surgical removal is often the preferred treatment
3. Radiation Therapy and Surgery for Glomus Jugulare Tumors
Advanced stereotactic radiosurgery techniques, including Gamma Knife, CyberKnife, and the latest innovation, HyperArc™, provide highly precise, non-invasive treatment options for smaller glomus jugulare tumors or patients who prefer to avoid open surgery. These methods deliver targeted radiation with exceptional accuracy, minimizing damage to surrounding healthy tissues while effectively controlling tumor growth. In cases where surgery is required, multimodal approaches combining microsurgical resection with radiosurgery can optimize outcomes, reducing the risk of recurrence and preserving neurological function.
Prognosis and Follow-Up:
With proper treatment, the prognosis for ENT glomus tumors is generally good. However, long-term follow-up is essential, including regular imaging and hearing tests, to monitor for any recurrence or changes in symptoms. It’s important for patients to consult with a multidisciplinary team of ENT specialists, neurosurgeons, and radiation oncologists to determine the best treatment approach for their specific case
Other Tumors
ENTs may help with other tumors located in the skull base meningioma, epidermoid cysts, metastasis, neuroma of other cranial nerves and Glomus tumors. The ENT and neurotologist will work as a part of an interdisciplinary team to create a treatment plan for these various tumors.
Other Skull Base Disorders
- Superior canal dehiscence
